My Molar Pregnancy

It was a year full of adventure that we did not know about. After seeking direction from the lord on what we should do and where we should go. The lord let a long time friend get in touch with my husband and offered him great position in the new business that he was starting up. It was perfect timing. We had to make quick decisions. Do we stay in Pennsylvania or should we move to Ohio for the next season in our life? Should one of us go or should we all?
We decided it would be worth the risk to go for for it. We all took a leap of faith and took only the bare minimum of things to live. The rest we planned to buy there. We left our beloved lake house in upstate Pa and headed for a town that was unfamiliar.

We first stayed with one of the owners of the company as, we settled in and found our own place. Because the guys worked long hours trying to get the company going us ladies had to fend for ourselves in a town we were not familiar with. I developed a great friendship with one of the ladies (she seemed to be more of a sister in that season). As we spent many days and night together with our children exploring and bonding together.
We found a place to rent just outside of the main town. That was the 1st year we began homeschooling with the bare minimum, internet and great library resources. We were also encouraged by the local church that we had been lead too. That was the first year we came back to the lord and committed ourselves to him and his will. Even though each year it still took many things to break down our will and do the lords will (we did not know what all we would have to go through to get to where the lord was taken us.)
It was a small little place that we settled in.We didn't have anything but our close, beds, computer, and a few cooking pots. Each week with our check we bought more things for the house. We purchased a kitchen table that we did everything on. We used it to do our school to eat and to sit and watch movies on. It showed us what was really important in those years. We had each other and that gave us a new outlook in life. When we were thinking we wanted all our things again we would just drive home six hours and stay in our lake home and quickly relize we wanted to be back in the simpleness of ohio home.
We found everything we needed, raw organic milk and amish made bread. Organic grass fed meats and veggies. They would have local farmers markets and we signed up for the food sharing programs that provided the meats and fruit and veggies. We hung our clothing out everyday on the line. We went to the library every other day to get new books to homeschool with. If we were not doing school or exploring the town the kids would build race car tracks in the drive way for hours! They were very creative!
We found out we were pregnant again with our second baby together but my fourth baby. My belly starting growing really fast and alot bigger than when I was pregnant before. We often joked it must have been twins and I would feel tons of movement and embraced every molment of it. As time went on the company expanded and prospered. My husband was moved to do a small job four hours from the place we had rented. That ment he was gone for days and nights for weeks at a time. The children and I drove over and stayed in the hotel that he had rented, it was a very hard time for us. A small one room place with no where to play or nothing to do. So we stayed a few nights and went back to our ohio home. As I was driving back home I wasn't feeling to well. I figured it was just from the long drive and being cooped up in the hotel room. When the children and I got back I went to the bathroom and noticed that I spotting. I quickly called my husband and told him and asked him what he thought I should do. I waited about four more hours. Nothing had stopped and I began to cramp. I called my best friend ( the bosses wife) she helped me decide what I should do. I was fearful of doctors by then after experiencing some bad things (story for another time) and just learning about being organic and natural. I figured I'd go in and at least get checkout and see if they could stop the bleeding.
I went in to the local small ER. I dont remember anyone being in there but me and my children. I prayed under my breath that everything be ok. I was scared and worried I was so stressed driving back and felt like I may have done something wrong to cause this. They checked and said yes it looked like I maybe having a miscarriage they said they seen tissue comming out. I cried after they walked out of the room! I wanted this baby that we prepared our hearts for. I was about four Months pregnant at that time. The doctor then came back in and sent me to get an ultra sound. While the children stayed in the room waiting for me, as I didnt have anyone to watch them at the time so the nurses kept comming in to check on them while I was away.
The ultra sound lady put the probe on my stomach and the look on her face quickly changed. I could see something in her eyes that didn't seem right. She asked me how far along I was and what were my symptoms and all kinds of questions as she kept taking pictures and moving all over my stomach. I asked her is the baby dead? I asked her if I could see.... she would not let me see, she would not tell me anything. She said wait untill the dr looks this over. That made me really confused. I told her I know I'm probley miscarrying could I please see.She would not let me. She then asked to do an internal ultra sound. I had no Idea what that was. She explained it to me and I said ok. I didnt really feel like I had a choice. She pushed the probe inside and pushed with all her might as she turned and moved it around to get pictures. She moved to the other side and did the same as I asked in pain and tears if she was finished. She made me put my fist under my back to hold my pelvis up high so she could get more diffrent pictures.It felt like an eternity. I then started to really cry out loud not only in pain but in fear as well. She asked if I was hurting I told her yes! She then proceeded to say I'm almost finished.

When she was finished they sent me back to my room to find my children there waiting for me. It was a lonely long wait until I figured out what was going on. I called my husband and told him what they had done. I then called my mom and also asked her to pray for me cause I was scared and wish she was there with me. This was the 1st time I had left my small home town and moved some where else away from everyone I knew and everything I loved. I never thought that I would experience something like that on my own, which made it even worse. After many hours of us waiting and even more bleeding and cramping. The kids were rumbuches and ready to get outta there, and so was I. I wished I hadn't even went in!
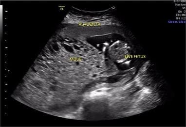
Finally the doctor came back in and explained that he seen that I had tissue that was not forming in the way it should have in the event of a pregnancy. He said I was in fact pregnant but it was growing tumors inside of my uterus instead of a baby.
My mind immediately went to my sister who had ovarian cancer. "Is it like cancer", I had asked. He said," it could be, we should take it out right away and test it and see what the next steps would be". I asked," well you said its tissue isn't all babies tissue and then it forms into a baby"? He replied "Not at this stage,If in fact you have been pregnant for 4 months it would not look like this". I cried "I had not even seen what it looked like". "She wouldnt let me see". They walked out of the room the nurse and doctor and started discussing something. I over heard them say "if we dont take it out now she will go home and it will come out or she will go to another hospital and we wont have it". One of the nurses then came in and asked me "what I wanted to do". I was confused and said I just want to go home. I was tired and couldn't think straight and full of confusion. She then left and came back in with a picture on her phone of my ultra sound that they had taken to show me what was in there. It was hard to believe that was really in there. I asked a couple of other questions to that nurse and then I agreed to go ahead with the D and C to get it removed. I definitely didn't want it to spread or make things worse. I called my best friend at the time ( the bosses wife) and she came with her children to take mine as I went through with the operation. It must have been midnight by then. I felt so bad to have to wake her and have her care for my children. I felt so bad my babies had to be in there with me to experience all of that with me. They were also scared.
The definition of a molar pregnancy is
A noncancerous tumor that develops in the uterus as a result of a nonviable pregnancy.
There may or may not be an embryo or placental tissue present. If there is an embryo, it unfortunately won't be able to survive.
They did the operation and I woke up and called my friend to pick me back up they wouldnt let me go home alone with the medicine still in my system. She picked me up with the children and I got home. I tucked the children in bed and curled up in a ball in my own bed that laid on the floor in the other room. I sobbed for hours untill I drift off to sleep.
I awoke to my husband crawling into bed. He had came home weeks early to be there for me. He held me and encouraged me as I sobbed yet again. I asked the lord why oh why did this happen what did I do to not be able to receive the baby that I'd thought was inside my womb. I asked the lord what was the baby's name? Was it a boy or girl? Why did that happen to me? A few days later the lord gave me a dream. He told me that it was a baby boy and that he the lord named him Joseph. It gave me so much peace to know the lord heard my prayer that he was with me through it all that he held my baby with him. That it was for a purpose that was unknown to me but know to him. That he was going to work it out for our good. That someday I would understand it all either in this life or in the next. That he was the one that holds the keys and I am to trust his ways and will for my life.
Thank you for reading and sharing my story.
I hope in some way you can also find healing through your hurt! I understand we all are going through different things in our lives but we all still have the same feelings and can embrace each other trying to understand and be a safe place for each other in our times of need. Please reach out if you ever need a friend or a listening ear.
thank you many blessings!!
Margaret